A úlcera péptica gástrica representa uma solução de continuidade da mucosa que ultrapassa os limites da muscular da mucosa (ao contrário da erosão). Apresenta evolução crônica e, na maioria das vezes, é única. Ulcerações agudas geralmente são múltiplas, cicatrizando-se rapidamente sem sequelas. A complicação mais frequente é o sangramento, constituindo causa importante de morbidade e mortalidade em pessoas com mais de 60 anos (veja classificação de Forrest na sessão de úlceras duodenais).

Um dos principais objetivos do exame endoscópico das úlceras gástricas é a diferenciação entre lesões malignas. Dessa forma, as úlceras devem ser avaliadas e descritas quanto à sua localização, número, tamanho, forma, profundidade, base, bordas, mucosa adjacente, e característica das pregas.

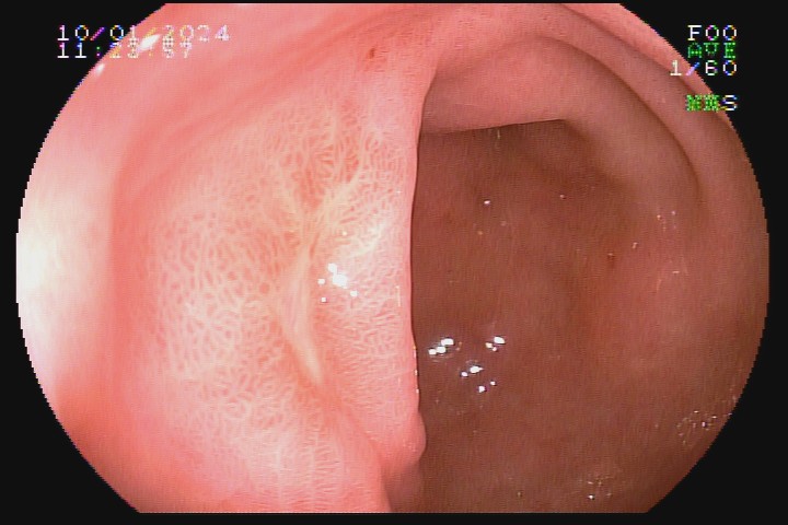
Com base no ciclo vital das úlceras, a classificação de Sakita diferencia suas fases da seguinte forma:

  • A1 - base recoberta por espessa camada de fibrina, com pontos de hematina ou restos necróticos; borda bem definida, escavada, tumefeita, enantematosa, geralmente sem convergência de pregas.
  • A2 - base recoberta por espessa camada de fibrina clara e limpa; formato arredondado ou oval, com borda bem definida, regular, menos tumefeita, com discreta convergência de pregas para a lesão.
  • H1 - base recoberta por fina camada de fibrina, ulceração mais rasa, com nítida convergência de pregas e enantema marginal.
  • H2 - base recoberta por camada de fibrina ainda mais tênue, podendo adquirir formato oval, fusiforme, semicircular ou forma de halter, e intenso enantema marginal.
  • S1 - convergência de pregas para área deprimida, avermelhada, sem fibrina (cicatriz vermelha).
  • S2 - depressão linear, semicircular ou puntiforme, sem enantema, com coloração branca e convergência de pregas (cicatriz branca).

 

Atlas de Endoscopia Digestiva da SOBED/Marcelo Averbach, Huang Ling Lang, Luis Masúo Maruta et al. - 2. Ed. - Rio de Janeiro - RJ: Thieme Revinter Publicações, 2020.