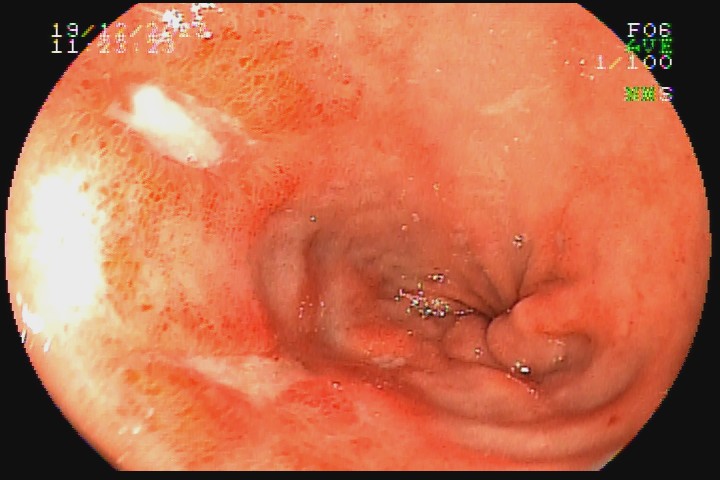
A localização mais comum da úlcera péptica duodenal é na parede anterior da primeira porção duodenal (bulbo). As úlceras na parede posterior são mais raras. A presença de mais de uma úlcera é ocasional, quando são localizadas no mesmo nível em paredes opostas são denominadas kissing ulcers.

A classificação de Sakita originalmente feita para as úlceras gástricas foi transposta para as úlceras duodenais, podendo ser utilizada da mesma maneira (veja classificação de Sakita na sessão de úlceras gástricas).

O processo de cicatrização da úlcera duodenal pode causar deformidades devido ao surgimento de traves de fibrose, que, caracteristicamente, convergem para o local da lesão, podendo gerar retração (deformidade leve), formação de pseudodivertículos (deformidade moderada) ou até mesmo estenose (deformidade acentuada).

A hemorragia digestiva é a complicação mais comum das úlceras, sendo que a classificação de Forrest estabelece o risco de ressangramento de acordo com os achados endoscópicos.

  • Forrest Ia - sangramento ativo em jato
  • Forrest Ib - sangramento ativo em porejamento
  • Forrest IIa - vaso visível não hemorrágico
  • Forrest IIb - coágulo aderido
  • Forrest IIc - pontos de hematina
  • Forrest III - base ulcerosa limpa

 

Atlas de Endoscopia Digestiva da SOBED/Marcelo Averbach, Huang Ling Lang, Luis Masúo Maruta et al. - 2. Ed. - Rio de Janeiro - RJ: Thieme Revinter Publicações, 2020.