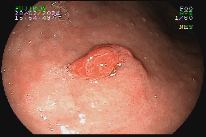
Também denominados pólipos inflamatórios ou regenerativos. Podem variar desde pequenas lesões sésseis até lesões maiores e pediculadas. Geralmente, possuem superfície regular e mais avermelhada. Seu potencial de malignidade é baixo.

 

Atlas de Endoscopia Digestiva da SOBED/Marcelo Averbach, Huang Ling Lang, Luis Masúo Maruta et al. - 2. Ed. - Rio de Janeiro - RJ: Thieme Revinter Publicações, 2020.