Embora a Candida seja considerada parte da flora habitual dos humanos, a esofagite por Candida ocorre quando há alterações na imunidade celular, com um desequilíbrio na flora habitual, fazendo com que este fungo se prolifere e fique aderido ao esôfago, formando placas branco-amareladas. Após a DRGE, é a causa mais comum de esofagite.

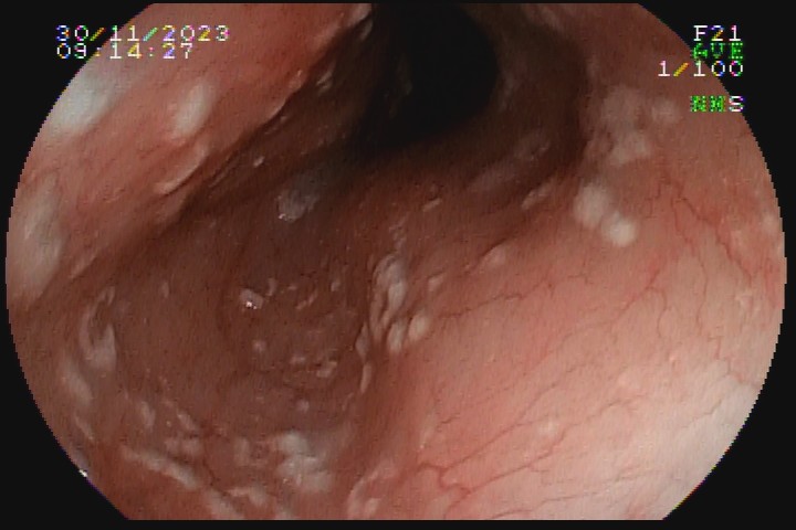
O diagnóstico é feito pela presença de placas esbranquiçadas aderidas à mucosa, enantema, associadas ou não a ulcerações. As placas não são removidas facilmente com a lavagem, e podem apresentar mucosa subjacente ulcerada ou friável. O aspecto endoscópico da esofagite por Candida foi descrito por Kodsi, e pode ser classificado da seguinte forma:

  • Kodsi I - poucas placas brancas de até 2mm, com enantema, mas sem edema ou ulceração.
  • Kodsi II - múltiplas placas brancas elevadas, maiores que 2mm, com enantema e edema, mas sem ulceração.
  • Kodsi III - placas elevadas confluentes, lineares e nodulares, com enantema e ulceração.
  • Kodsi IV - achados do grau III com membranas friáveis e, ocasionalmente, diminuição do lúmen esofágico. 

 

Atlas de Endoscopia Digestiva da SOBED/Marcelo Averbach, Huang Ling Lang, Luis Masúo Maruta et al. - 2. Ed. - Rio de Janeiro - RJ: Thieme Revinter Publicações, 2020.