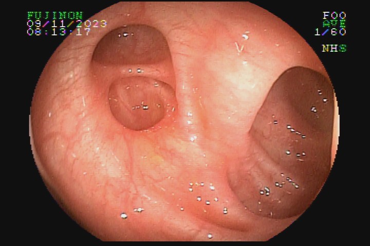
A diverticulose é uma doença adquirida, frequente entre pessoas mais idosas. Acredita-se que tenha como principal fator etiológico hábitos dietéticos relacionados com o refinamento da dieta industrializada. Pode ter uma evolução benigna por toda a vida e ser totalmente assintomática, mas pode também caracterizar-se como doença de sinais e sintomas agressivvos, com considerável morbidade e mortalidade devido às suas principais complicações: inflamação e sangramento.

A diverticulose cólica é consequência da herniação da mucosa do intestino grosso por entre as fibras musculares da parede intestinal. A diverticulose do cólon esquerdo complica mais com inflamação, e a diverticulose do cólon direito complica mais com sangramento.

 

Atlas de Endoscopia Digestiva da SOBED/Marcelo Averbach, Huang Ling Lang, Luis Masúo Maruta et al. - 2. Ed. - Rio de Janeiro - RJ: Thieme Revinter Publicações, 2020.