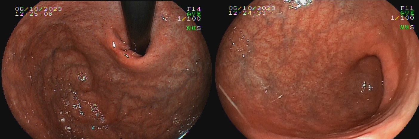
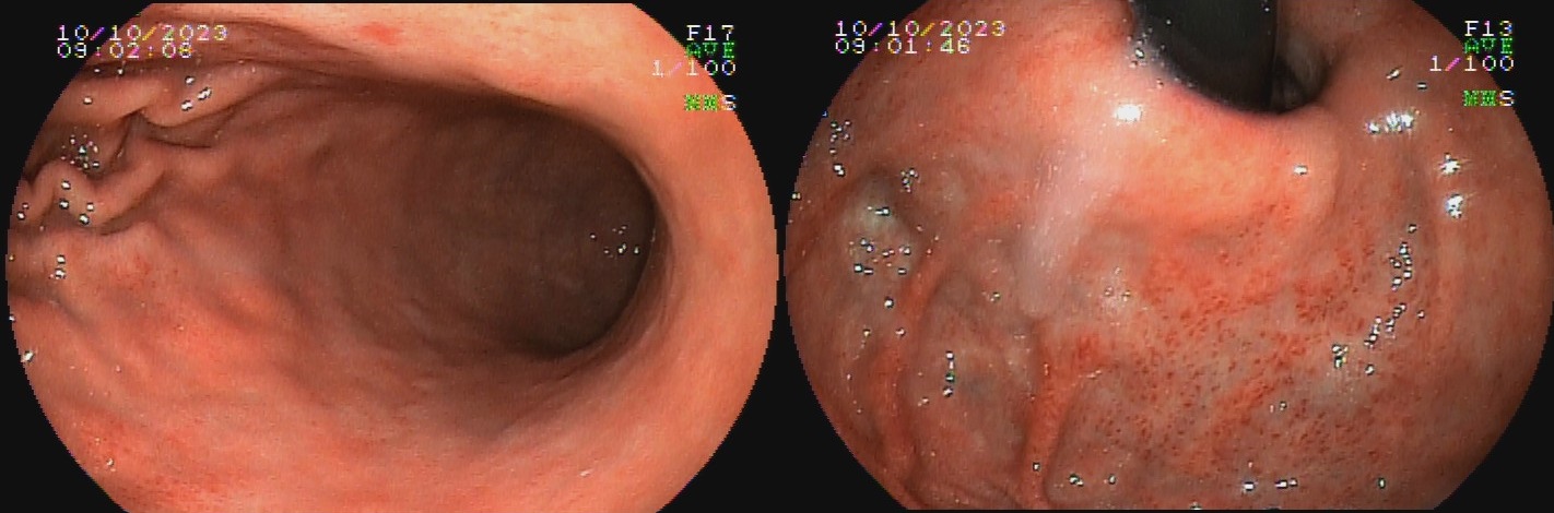
O termo gastrite crônica atrófica refere-se à atrofia da mucosa gástrica causada pelo H. pylori. Inicialmente, a mucosa sofre agressão por neutrófilos, e mais tardiamente, por monócitos. Com o tempo, essa agressão reduz a população de glândulas, tornando o relevo reduzido e a mucosa mais pálida. A diminuição da espessura da camada mucosa torna os vasos da submucosa mais evidentes ao exame endoscópico. Segundo a evolução descrita por Kimura-Takemoto, essa patologia tem início no antro e incisura angular (C1),  e progride em direção à cárdia pela pequena curvatura do corpo, e, após atingir a região mais proximal do estômago (C2 e C3), a progressão inicia abertura da região acometida, expandindo-se em direção às paredes anterior e posterior do corpo e fundo simetricamente (O1 e O2), até acometer a grande curvatura (O3).

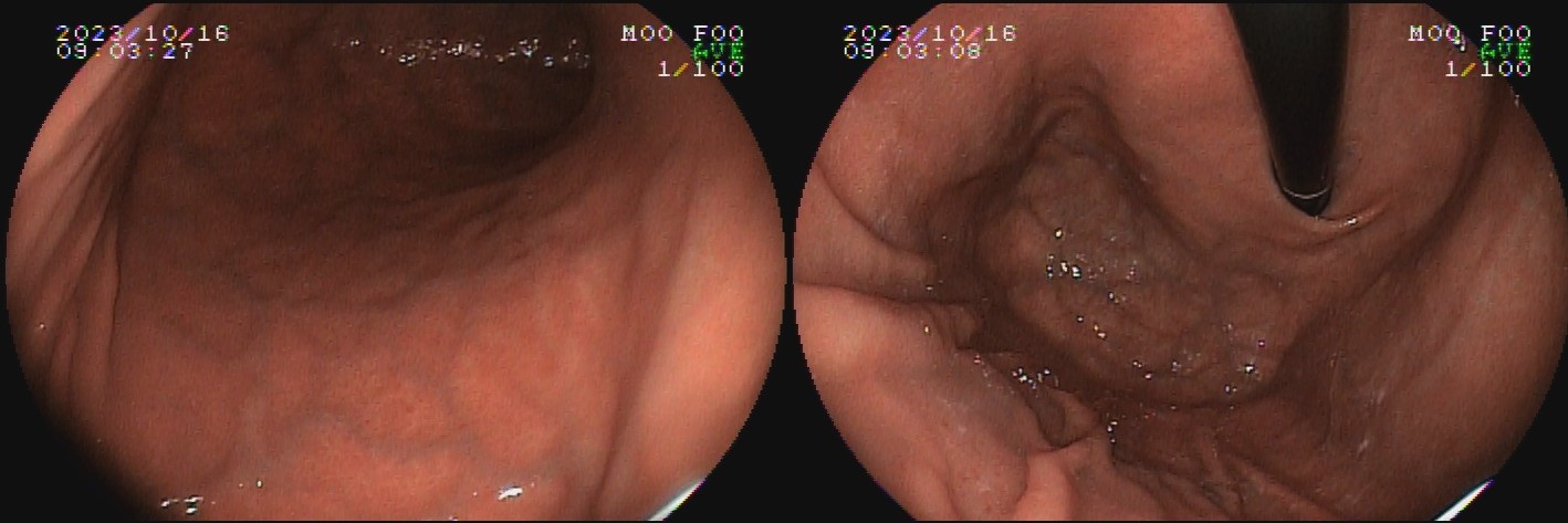
Já a gastrite atrófica autoimune ocorre por destruição glandular por autoanticorpos anticélulas parietais, e é mais comum em mulheres, porém dados relativos à idade e etnia mais frequente são controversos. A inflamação crônica resulta em redução do relevo e palidez da mucosa de fundo e corpo, assim como desaparecimento do pregueado mucoso observado à insuflação durante o exame endoscópico, com aspecto mais homogêneo que aquele encontrado na gastrite atrófica infecciosa. Podem ser formadas ilhas de mucosa normal residual, caracterizadas endoscopicamente como pseudopólipos. A mucosa do antro mantém-se preservada por não apresentar células parietais, delimitando uma área de transição clara entre a mucosa atrófica do corpo e mucosa normal do antro.

 

Atlas de Endoscopia Digestiva da SOBED/Marcelo Averbach, Huang Ling Lang, Luis Masúo Maruta et al. - 2. Ed. - Rio de Janeiro - RJ: Thieme Revinter Publicações, 2020.