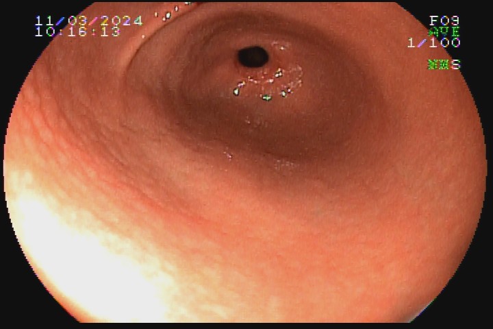
A gastrite por Helicobacter pylori é uma das formas mais comuns de gastrite. Apesar de o diagnóstico ser realizado por histologia, teste da urease, sorologia ou teste respiratório de ureia marcada, há sinais endoscópicos que possibilitam forte suspeita de positividade ou negatividade dessa infecção. Os sinais  de positividade são: enantema difuso, edema da mucosa, enantema purpurifotme, pregas alargadas e tortuosas, nodularidade, pólipo de hiperplasia foveolar, xantelasmas, muco aderido à mucosa, atrofia e metaplasia intestinal.

Os achados com mais forte correlação negativa com a infecção da mucosa gástrica por H. pylori são: presença de pólipo de glândula fúndica, presença de arranjo normal de vênulas coletoras na pequena curvatura do corpo distal e incisura angular, presença de hematina, enantema em faixa, múltiplas placas achatadas esbranquiçadas em corpo e fundo e erosões elevadas.

Veja abaixo algumas imagens do nosso acervo que demonstram gastrite com infecção pelo Helicobacter pylori comprovada no histopatológico.

 

Atlas de Endoscopia Digestiva da SOBED/Marcelo Averbach, Huang Ling Lang, Luis Masúo Maruta et al. - 2. Ed. - Rio de Janeiro - RJ: Thieme Revinter Publicações, 2020.