Apesar da existência de um mecanismo antirrefluxo eficaz entre o esôfago e o estômago, o refluxo fisiológico pode ocorrer após qualquer refeição. Porém, o refluxo patológico ocorre por vários fatores, principalmente pela perda de mecanismos como a capacidade funcional do esfíncter esofágico inferior e mecanismos de clareamento, como a peristalse esofágica.

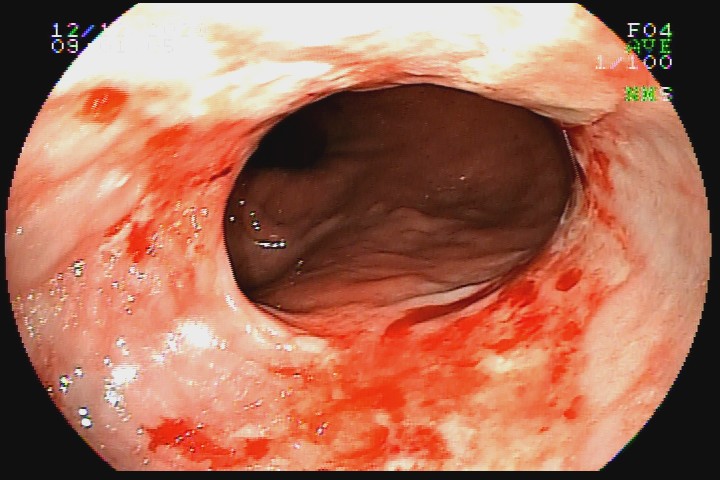
A classificação endoscópica das esofagites é um recurso últil na análise comparativa do grau de gravidade da doença com a eficácia do tratamento. Dentre as classificações, as mais utilizadas são: Los Angeles e Savary-Miller.

 

Classificação de Los Angeles:

  • Grau A - uma ou mais soluções de continuidade da mucosa (erosões) menores ou iguais a 5mm, que não se estendem por 2 pregas longitudinais.
  • Grau B - uma ou mais erosões maiores que 5mm, que não se estendem por 2 pregas longitudinais.
  • Grau C - uma ou mais erosões que tem continuidade entre 2 ou mais pregas esofágicas, comprometendo menos de 75% da circunferência do órgão.
  • Grau D - uma ou mais erosões que tem continuidade entre 2 ou mais pregas esofágicas, comprimetendo mais de 75% da circunferência do órgão.

 

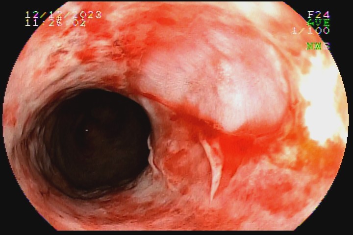
Classificação de Savary-Miller:

  • Grau I - Erosão única ou isolada, oval ou linear, envolvendo somente uma prega longitudinal.
  • Grau II - Múltiplas erosões, não circunferenciais, envolvendo mais de uma prega longitudinal, confluentes ou não, mas que não ocupam toda a circunferência do esôfago.
  • Grau III - Erosões confluentes que se estendem por toda a circunferência do esôfago.
  • Grau IV - Lesões crônicas incluindo úlceras ou estenoses, isoladas ou associadas às lesões I, II e III.
  • Grau V - Epitélio colunar em continuidade com a linha Z, circunferencial ou não, de extensão variável, isolado ou associado às lesões de I a IV.

 

Atlas de Endoscopia Digestiva da SOBED/Marcelo Averbach, Huang Ling Lang, Luis Masúo Maruta et al. - 2. Ed. - Rio de Janeiro - RJ: Thieme Revinter Publicações, 2020.